반려견의 간농양
반응형

농양(abscessation)은 농이 찬 주머니가 생긴 것으로 주로 대장균의 감염으로 발생하는 것으로 알려져 있다. 비교적 드물게 진단되는 질환이다. 하지만 생각보다는 잦게 발병하기도 하니 꼭 기억해 둘 필요가 있는 질환이기도 하다.

주요 증상은 다음과 같다.
| 증상 | 비고 |
| 혼수 | 39/56 |
| 식욕부진 | 31/56 |
| 구토 | 26/56 |
| 신체검사 | |
| 발열 | 41/56 |
| 복통 | 22/54 |
| CBC | |
| 호중구 증가 | 31/49 |
| 독성변화 | 25/49 |
| 빈혈 | 28/49 |
| 혈소판감소증 | 23/49 |
| 혈액화학검사 | |
| ALP 증가 | 45/50 |
| ALT 증가 | 40/50 |
| 저단백혈증 | 25/48 |
| 고빌리루빈혈증 | 19/49 |
| 저혈당 | 13/49 |
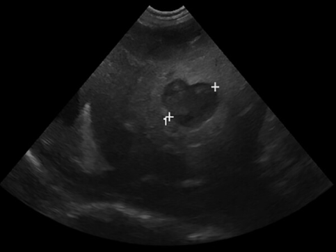
초음파 소견에서 주의 깊게 생각해 볼 문제가 있다.

이런류의 비특이적인 cyst가 무증상 환자에서도 종종 관찰되곤 하는데 이들에 대한 검사가 필요할 수 있다는 사실을 염두에 둬야 한다. 또한 증상이 없더라도 모니터링을 통해 변화 양상을 확인할 근거가 된다.
수술적 교정을 한 경우의 예후는 35/41 마리가 생존하였고
내과적 치료를 한경우에는 5/8 마리가 생존하였다고 한다.
단순비교로는 수술적인 교정이 생존율이 더 높은것으로 나타나지만 환자마다 차이가 있을 것으로 보인다.
논문에서는 특히 저혈당여부와 단일 농양인지, 다발성농양인지가 예후 판단에 영향이 있다고 알리고 있다.
이 부분이 좀 애매한데, 단일 농양인 경우 수술적으로 접근에 용이하지만 다발성인 경우 수술보다는 내과적 치료를 더 많이 해야 하기 때문에 내과적 치료의 생존율이 상대적으로 낮은 것으로 추정된다.
죽을만한 환자를 더 많이 치료했으니 죽는 비율이 높은것은 어떤 의미에서 당연한 일.
반응형
'논문겉핥기' 카테고리의 다른 글
| 개와 고양이의 폐초음파 검사 score (0) | 2023.12.23 |
|---|---|
| 반려견 MR환자에서의 예후 평가 _ feat 마그네슘 (1) | 2023.12.21 |
| 고양이가 짜게 먹으면 신부전이 생긴다? 새빨간 거짓말 (0) | 2023.12.17 |
| 육아종성 간염이 있는 반려견 최신지견. (0) | 2023.12.15 |
| 자궁축농증 수술 후 환자는 어떤 변화를 겪을까? (0) | 2023.12.13 |