고에코로 관찰되는 개의 PDJ는 어떻게 해석해야 하는가?
반응형

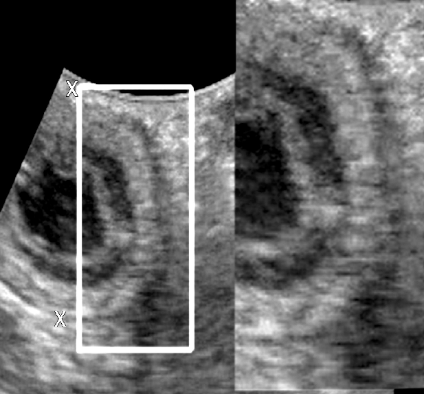
사진처럼 개의 복부 초음파 검사에서 위십이지장 연접부, 소위 PDJ에 해당하는 부분에 에코가 높게 관찰되는 경우는 흔하게 관찰되어 실제 임상적인 의미를 두지 않는데 이에 대한 명확한 문헌적 근거가 나와 소개한다.

논문의 요점은
|
이렇게 되고

위 십이장의 해부학적 분기점으로 섬유결합조직이 많아 보이는 현상으로 이해하면 무리가 없을것이다.
임상에서 의미가 없으니 어느날 갑자기 눈에 띄었다고 너무 놀래지 말아야 할것이다.
반응형
'논문겉핥기' 카테고리의 다른 글
| 쿠싱병 관리 안하면 반려견은 빨리 죽습니다. (0) | 2024.06.07 |
|---|---|
| 파티칼라 코카스파니엘이라면 주의하시라. (0) | 2024.06.03 |
| 반려견 심장 초음파 검사의 새 지표? (0) | 2024.05.30 |
| 고양이 간종양 수술을 하기전에 CT 촬영을 추천합니다. (0) | 2024.05.28 |
| 반려견과 고양이의 심장 기저부 종양의 CT 결과 분석 (0) | 2024.05.26 |