개의 신경칸디다증 증례
반응형
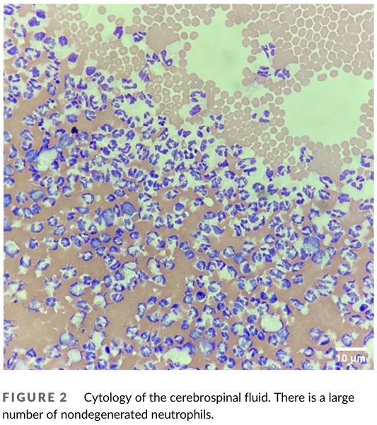
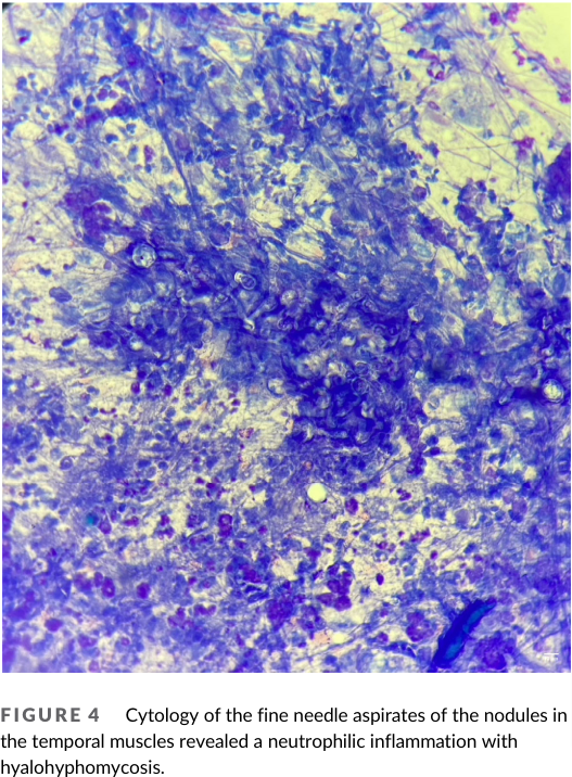
칸디다는 곰팡이성 질환으로 보통 거론되는 게 에이즈 환자등, 면역계가 무너진 환자에서 이차적 기회감염에 해당하는 부분이다. 개에서도 마찬가지로 대부분 면역 억제 치료를 받을 때 주로 증상이 나타날 수 있는데 이번 증례는 뇌에 감염이 있을 때의 증례, 특히 MRI 촬영과 부검을 통한 재확인이 매우 가치 있는 논문이라 하겠다.






반응형
'논문겉핥기' 카테고리의 다른 글
| 고양이 헤모플라즈마 감염증에 관심을... (0) | 2024.06.23 |
|---|---|
| 특발성 간질 강아지에서 zonisamide의 단독 투약 (0) | 2024.06.21 |
| ACVIM 혈소판 감소증 진단, 치료 기준 (1) | 2024.06.13 |
| 앓고난 강아지는 몇일 후쯤 갑상선검사를 해야 할까? (0) | 2024.06.09 |
| 쿠싱병 관리 안하면 반려견은 빨리 죽습니다. (0) | 2024.06.07 |