개의 심장 판막 대동맥 낭종 증례 보고
개의 심장 내 낭종은 매우 드물게 발견되는 병변으로, 현재까지 개의 대동맥 판막 낭종에 대한 심장초음파를 통한 자세한 보고는 없었습니다. 인의에서는 선천적 또는 후천적으로 대동맥 낭종이 보고된 바 있으나, 수의학 분야에서는 이러한 증례가 이전에 보고된 적이 없습니다. 본 연구는 심장 잡음 조사를 위해 내원한 개에서 심장초음파를 통해 대동맥 판막 낭종이 발견된 증례를 보고하고, 해당 병변의 특징과 임상적 의의를 제시하고자 하였습니다.
어떻게 진행되었나요?
이번 연구는 심장 잡음 조사를 위해 내원한 12세, 19.8kg의 중성화된 암컷 노바스코샤 오리 사냥 리트리버 한 마리를 대상으로 한 증례 보고로 진행되었습니다. 심장 청진에서 좌측 심장 기저부에서 들리는 부드러운 (2/6) 이완기 심장 잡음이 확인되었습니다. 이후 2차원 경흉부 심장초음파 검사를 통해 심장 내 병변을 확인하고, 8개월 후 추적 검사를 통해 병변의 변화 여부를 평가하였습니다.
무엇을 발견했나요?
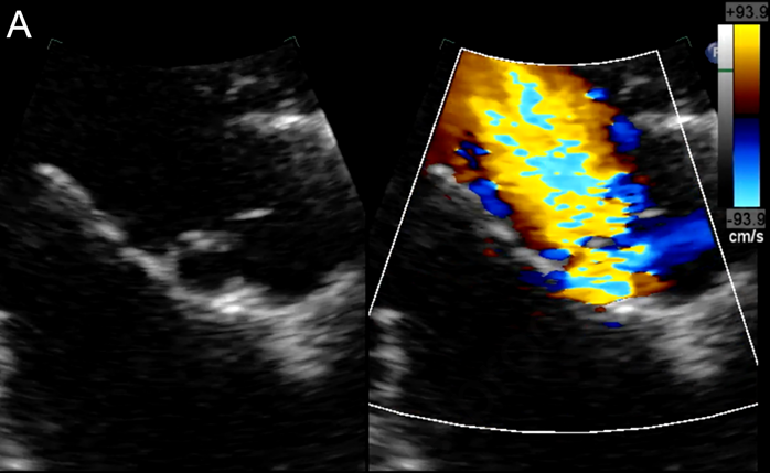
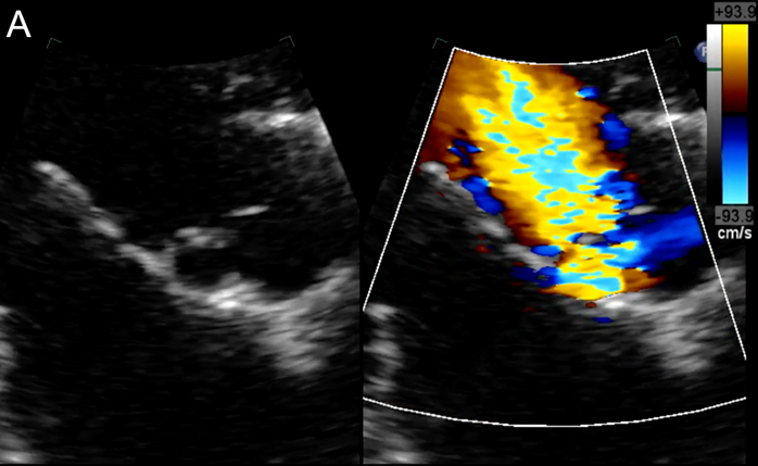
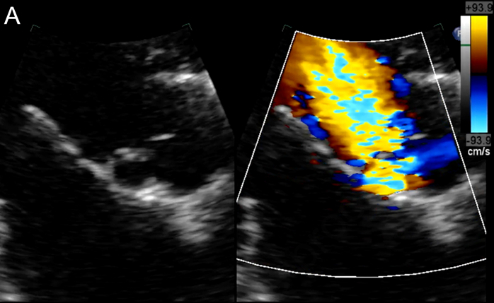
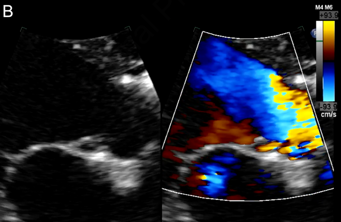
- 2차원 경흉부 심장초음파 검사에서 대동맥 판막 소엽에 부착된 낭종 형태의 구조물이 확인되었습니다. 이 낭종은 직경 8mm의 둥근 무에코 병변으로, 얇은 고에코성 벽을 가지고 있었으며, 좌측 관상동맥 첨판 바로 아래 대동맥 판막 소엽과 밀접하게 접촉해 있었습니다.
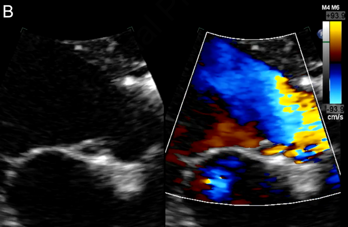
- 도플러 검사 결과, 낭종 내부에 액체가 채워져 있으며 대동맥 및 심실 내강과 연결되어 있음이 확인되었습니다. 특히 이완기 동안 낭종 내에서 난류가 관찰되었고, 이는 좌심실 유출로와 연속성을 보여 대동맥 판막 부전의 형성에 기여하는 것으로 나타났습니다.
- 중등도 대동맥 판막 부전이 동반되었으며, 좌심방은 경미하게 확장되어 있었습니다. 대동맥 판막의 첨판은 3개였고 두꺼워지지 않았으며, 대동맥 궁은 확장되지 않았습니다.
- 8개월 후 재검사에서 병변의 유의미한 진행은 관찰되지 않았고, 개는 여전히 무증상이었습니다.


| 심장초음파 검사에서 낭종은 무에코성 내부와 얇은 벽을 가진 둥근 구조물로 나타나며, 심장 주기 동안 판막 움직임에 따라 모양이 변할 수 있습니다. 이러한 낭종은 섬유탄력종(fibroelastomas), 점액종(myxomas), 판막 증식물(valvular vegetations)과 감별해야 하지만, 확진은 수술적 절제 및 조직병리학적 검사를 통해서만 가능합니다. 본 증례의 경우 조직 검사는 수행되지 못했지만, 심장초음파 소견은 인의에서 보고된 대동맥 낭종의 특징과 유사하였으며, 이전 병력이나 외상 기록이 없어 선천적이거나 자발적인 발생 가능성이 높다고 판단됩니다. 임상 현장에서 심장 잡음이 있는 개에서 대동맥 판막 낭종 가능성도 고려해볼 수 있으며, 지속적인 추적 관찰을 통해 임상 증상 발현 여부 및 병변 진행을 평가하는 것이 중요합니다. |

반응형
'논문겉핥기' 카테고리의 다른 글
| 거대식도증을 앓는 반려견의 새로운 합병증: 식도 칸디다증 증례 보고 분석 (1) | 2025.06.29 |
|---|---|
| 고양이 중풍? (1) | 2025.06.26 |
| 반려견 단백 소실성 장병증, 비타민 D 보충은 과연 효과적인가? (1) | 2025.06.20 |
| 원인 불명의 반복적이고 발작적인(paroxysmal) 위장관 증상을 보이는 반려견? (0) | 2025.06.18 |
| 중환자실의 반려동물은 잠들지 못한다 (1) | 2025.06.16 |