고양이 확장성 심근병증(DCM), 바르토넬라 감염과 관련 있다면 회복될 수 있을까?
1. 연구 배경: 왜 이 연구가 필요했을까요?
고양이에서 확장성 심근병증(DCM) 표현형은 드물게 진단되며, 일반적으로 예후가 좋지 않은 것으로 알려져 있습니다. DCM의 원인으로는 원발성, 타우린 결핍과 같은 영양적 문제, 심근염, 판막 질환 등이 고려됩니다. 특히 젊은 고양이에서 갑작스럽게 DCM과 울혈성 심부전이 발생했을 경우, 감염에 의한 심근염이 주요 감별 진단 목록에 포함될 수 있습니다. Bartonella는 고양이에서 심내막염, 심근염 등 다양한 심장 문제를 유발할 수 있는 것으로 보고된 바 있는 세균성 병원체입니다. 이 증례 보고는 Bartonella 항체 양성 반응을 보인 젊은 고양이에서 나타난 심각한 DCM 표현형이 치료 후 완전히 회복된 과정을 보여줌으로써, 감염성 원인에 의한 심장 질환의 가역적 회복 가능성을 제시하고자 하였습니다.
2. 연구 방법: 어떻게 진행되었나요?
이번 연구는 1.5살의 중성화 암컷 고양이에 대한 증례 보고입니다. 해당 고양이는 이틀간의 기력 저하, 식욕 부진, 호흡 곤란 증상으로 내원하였습니다. 응급 초음파 검사에서 다량의 흉수와 소량의 복수가 확인되었고, 심장 초음파 검사를 통해 양심실 및 양심방 확장과 심수축력 저하를 특징으로 하는 확장성 심근병증(DCM) 표현형 및 울혈성 심부전이 진단되었습니다. 타우린 수치는 정상이었으며, 감염병 검사에서 Bartonella spp. 에 대한 항체(IgG)가 높게 측정되었습니다. 이에 따라 울혈성 심부전 치료(피모벤단, 푸로세마이드, 클로피도그렐)와 의심되는 바르토넬라증에 대한 항생제 치료(프라도플록사신, 독시사이클린)가 병행되었습니다.

3. 핵심 결과: 무엇을 발견했나요?
치료 과정에 따른 주요 발견 사항은 다음과 같습니다.
- 초기 진단: 환자는 심각한 울혈성 심부전 상태였으며, 심장 초음파 검사상 심장이 전반적으로 확장되고 수축 기능이 현저히 저하된 전형적인 DCM의 모습을 보였습니다.
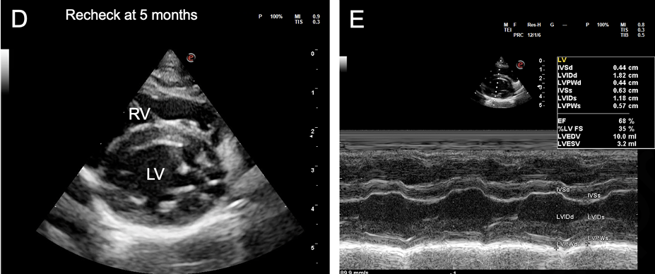
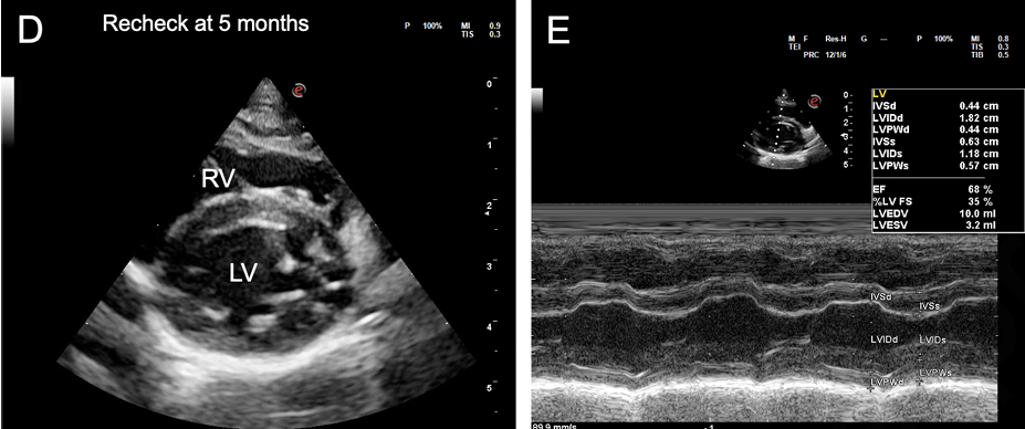
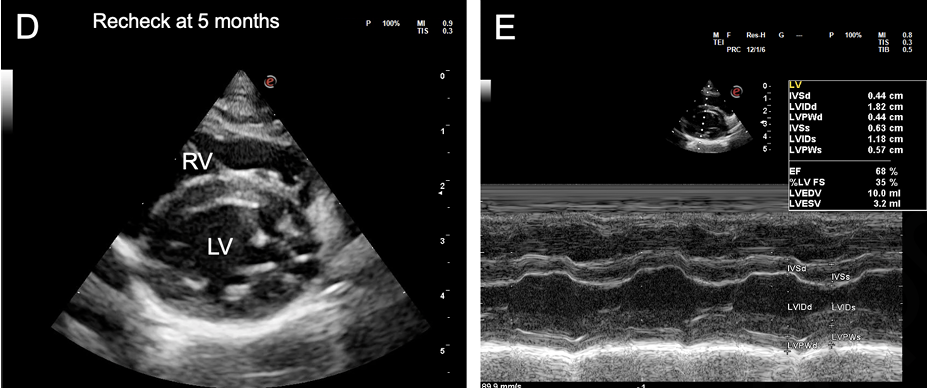
- 치료 후 심장 기능의 회복: 심부전 치료와 항생제 치료를 시작한 후, 2.5개월, 5개월, 9개월 차에 진행된 추적 심장 초음파 검사에서 놀라운 변화가 관찰되었습니다. 확장되었던 심방과 심실의 크기가 정상 범위로 줄어들고, 저하되었던 심실 수축 기능 또한 정상으로 회복되는 '역 리모델링(reverse remodeling)'이 명확하게 확인되었습니다.
- 약물 치료 중단: 5개월 차 추적 검사 후 이뇨제와 항혈전제를 중단하였고, 9개월 차에는 심장 기능이 안정적으로 유지됨에 따라 강심제인 피모벤단까지 모두 중단할 수 있었습니다. 모든 심장 약물을 중단한 후에도 고양이는 임상 증상 없이 양호한 상태를 유지했습니다.

4. 임상적 의의 및 결론: 그래서 이 연구가 왜 중요할까요?
이번 증례 보고는 임상 현장에서 매우 중요한 시사점을 제공합니다.
첫째, 젊은 고양이에서 원인 불명의 DCM 표현형이 진단될 경우, Bartonella와 같은 감염체에 의한 심근염 가능성을 반드시 고려해야 합니다. 특히 길고양이 출신이거나 벼룩 노출 이력이 있는 고양이에서 그 가능성은 더욱 커집니다.
둘째, 일반적으로 불량한 예후를 보이는 원발성 DCM과 달리, 감염성 심근염에 의해 이차적으로 발생한 DCM 표현형은 적절한 치료를 통해 심장 구조와 기능이 완전히 회복될 수 있는 '가역적' 상태일 수 있음을 보여줍니다. 이는 보호자에게 희망적인 예후를 제시할 수 있는 근거가 됩니다.
물론, 이 증례는 심근 조직 검사와 같은 확정적인 진단 없이 혈청학적 검사와 치료 반응에 근거하여 바르토넬라 연관성을 추정했다는 한계점을 가집니다. 그러나 심각한 심부전을 동반한 DCM 표현형이 약물 치료 중단이 가능할 정도로 완벽하게 회복된 사례를 제시했다는 점에서 그 임상적 가치는 매우 높다고 할 수 있습니다.
5. 요약 및 마무리
이번 증례 보고는 Bartonella 감염이 의심되는 젊은 고양이에서 발생한 심각한 확장성 심근병증(DCM) 표현형이 치료를 통해 완전히 회복될 수 있음을 보여준 중요한 사례입니다. 이는 유사한 증례를 접하는 임상 수의사들에게 감염성 원인에 대한 적극적인 검사와 치료를 고려하게 하고, 고양이 DCM의 예후에 대한 새로운 관점을 제공합니다.
감사합니다.
[참고문헌 (Reference)] Ditzler, B., Lozano, B., Jones, C., Henderson, M., & Saunders, A. B. (2025). Transient dilated cardiomyopathy phenotype and positive Bartonella serology in a cat. Journal of Veterinary Cardiology.
'논문겉핥기' 카테고리의 다른 글
| CAnine Dementia Scale(CADES)를 활용한 개 인지기능장애 증후군의 중증도 및 진행 평가 (0) | 2025.09.27 |
|---|---|
| 고양이 신장 피질 두께-대동맥 직경 비율(RCT:Ao ratio)의 임상적 활용 (0) | 2025.09.25 |
| 고양이 비인두 협착증에서의 실리콘 스텐트 적용에 관한 문헌 (0) | 2025.09.21 |
| 강아지 부신피질기능저하증(에디슨병)의 장기 생존율: 최신 연구 심층 분석 (0) | 2025.09.17 |
| 고양이의 갑작스러운 심부전, 원인은 탈모 치료제? 미녹시딜 중독 증례 보고 (0) | 2025.09.15 |