반려견의 bullae의 특성, 마취의 위험성?

결론은 논문을 보지 않아도 incidental finding이니 마취하는데 문제 없다일것이다.
일단 bullae는 폐의 폐포가 파열하여 합쳐지면서 유체역학상 표면장력차로 인하여 공기주머니가 점점 커지는 것인데
노령견의 경우 우연하게 발견되는 경우도 많고 대부분이 임상증상을 보이지 않는다.
특히 CT촬영시에 우연히 발견되는 작은 크기의 bullae가 많이 있을 수 있으나 대부분 임상적 의미를 두지 않지만 과연 무시해도 되는가? 라는 부분에 대한 의문에서 시작되는 논문이라고 봐야 한다.
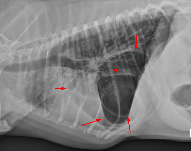
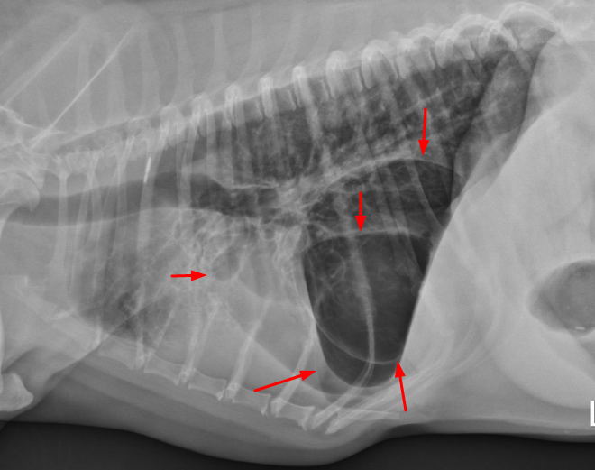
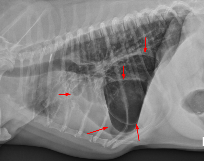
임상적 의미가 있는 bulla는 아래와 같이 방사선 상에서 도 보일 정도로 심각한 크기의 bullar여야 의미를 갖는다.

마취전검사에서 저런 수준의 bullar가 아니라면
bullar 자체가 마취에 영향을 주지 않는다는게 이 논문이 말하고자 하는 부분이다.

반응형
'논문겉핥기' 카테고리의 다른 글
| 용혈성 빈혈의 진단과 치료에서 당화혈색소의 역할 (0) | 2023.02.12 |
|---|---|
| 강아지는 겨드랑이에서 체온 측정을 하지 않는 이유. (0) | 2023.02.09 |
| 개의 후각능력 : 사람과 비교하여 (0) | 2023.01.31 |
| 길고양이 TNR과 함께 밥도 줘야 한다. (1) | 2023.01.31 |
| TNR로 고양이 개체수가 감소했다는 논문 (0) | 2023.01.30 |