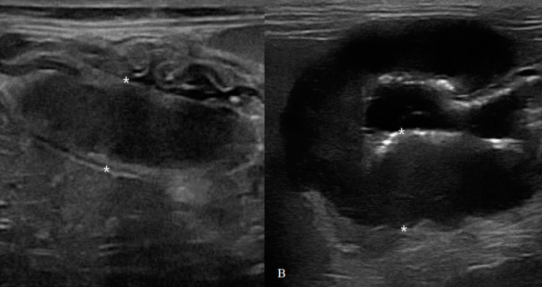
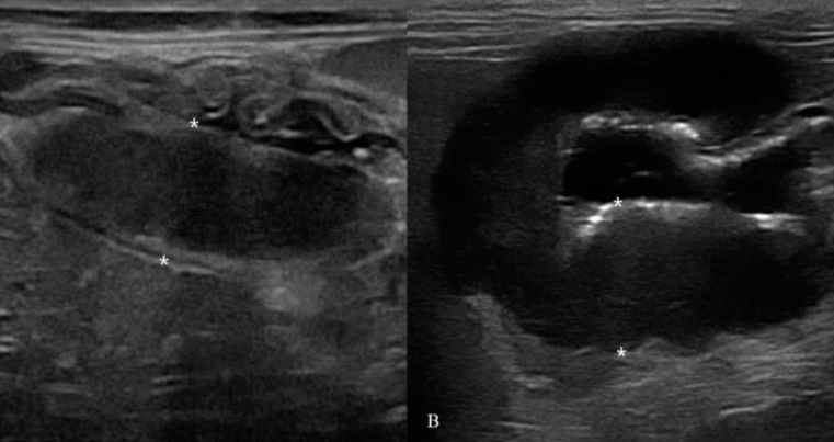
고양이 침윤성장질환과 장종양의 구분 방법

딱떨어지는 뭔가의 차이가 있었으면 하는것이 일반적인 바램이지만,
high grade의 종양성 변화가 아닌 low grade의 종양인경우 결론적으로 구분점은 없다고 보아야 한다.

그래서 가능한 모든 검사를 다 돌려야 감별이 가능하다는 것이 이번 논문의 결과

low grade에서는 종양이어도 층간 구조 소실이 보이지 않기 때문에 함부로 종양이다, 종양이 아니다를 말해서는 안된다.
high grade라면 그냥 초음파만 봐도 악해 보이니 바로 감별이 가능하긴 하다

물론 이정도로 비후되어 있거나 운동성이 감소되어 장폐색이 유발된다면 악성, 양성과 상관없이 바로 수술로 제거하는게 원칙인점은 잊지 말자.
반응형
'논문겉핥기' 카테고리의 다른 글
| VHS를 간략하고 빠르게 하기 : HSVR (0) | 2023.06.04 |
|---|---|
| 고지혈증이 있으면 담낭이 마이아파~ (0) | 2023.06.02 |
| 별놈의 지방종, 고양이 견갑골 뼈속부터 지방종? (0) | 2023.05.28 |
| 방광벽에서 물주머니들이 보인다면? (0) | 2023.05.26 |
| 3살짜리 고양이의 심장 종양 (0) | 2023.05.24 |