고양이 복막염 치료 신약의 부작용(GS-441524)
복막염 치료제로 사용되고 있는 GS-441524에서의 부작용에 대한 논문이 나왔다.

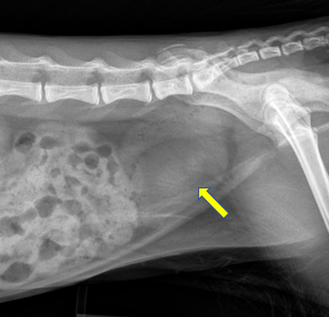
순도 98%의 GS-441524 로 구성된 결석이 발생한다는 것. 요로계 폐색까지 유발된 증례를 가지고 보고를 했으니 폐색 없이 발생한 증례도 상당할 것으로 예상된다.

결정의 변연이 이리도 날카로우니 당연히 물리적 자극에 의한 요로계 손상은 추정할 수 있을것.

초기 보고이기 때문에 앞으로 적극적으로 진단되어 더 많은 증례가 보고될것으로 생각된다.
이 논문을 근거로 신약 치료를 한다면 반드시 반복적인 요로계 스크리닝 검사를 통해 결석 발생 여부를 평가해야 한다는 것 주지해야 할 것이다.
반응형
'논문겉핥기' 카테고리의 다른 글
| 저혈량성 쇽이 일어난 강아지에서의 수액용량 평가? (1) | 2023.12.07 |
|---|---|
| 말라세지아성 장염? (0) | 2023.12.05 |
| 고양이 급성 부신 괴사증 증례 : 에디슨병 (0) | 2023.12.01 |
| 고양이 그루밍 시간, 수면시간 (0) | 2023.11.27 |
| 고양이 "헤어볼토"라는것은 과연 존재하는가? (2) | 2023.11.25 |