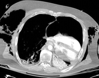
심장이 허니아?

사람 사진인데 이런 식으로 심장이 한쪽으로 너무 쏠려 있는, 다시 말해 종격동이 심장을 지지해주지 못하는 상태 수준으로 편위 되었을때 의심할만한 심낭을 통한 심장의 허니아 케이스가 보고되었다. 수의학에서는 첫 보고라고 하며 탐색적 개흉술 이전에는 진단하기 어려워 실제로 발생했지만 진단을 못했을 경우가 많았을것으로 보이니 기억해 둘것.
간단히 요약하면 심낭이 찢어져서 심장이 심남 밖으로 빠져 나온상태라는것.


| 개 한 마리가 교통사고로 인해 심장 탈장과 외상성 심낭 파열이 발생한 사례에 대한 보고입니다. 이 개는 사고 당시 심각한 흉부 외상이 의심되었음에도 불구하고 혈역학적으로 안정을 되찾았고, 우측 장골 골절을 교정하는 정형외과 수술을 받았습니다. 그러나 퇴원 후 실수로 떨어지면서 심한 호흡 곤란을 겪게 되어 12일 만에 재입원하게 되었습니다. 흉부 방사선 사진 상 심장 음영이 좌측 흉벽에 비정상적으로 위치해 있었고, 심한 종격동 편위가 관찰되었습니다. 환자의 호흡 상태가 위중하고 새로 발생한 기흉으로 인해 시험적 개흉술이 권고되었고, 수술 중 심낭의 완전 파열과 그로 인한 좌측 심장 탈출이 확인되었습니다. 그 외에도 흔한 흉부 손상들이 발견되어 부분적으로 교정되었습니다. 환자는 수술 후 4일 만에 회복되어 퇴원했습니다. 수의학 문헌상 외상성 심낭 파열과 심장 탈장이 보고된 것은 이번이 처음입니다. 사람의 경우에 따르면 이는 매우 드물고 치명적인 합병증으로, 수술 전이나 사망 전에 진단하기 매우 어렵습니다. 응급 수의사들은 둔상에 의한 흉부 외상 시 이러한 합병증이 발생할 수 있음을 인지해야 합니다. 본 증례에서는 발견되지 않았으나, 대혈관이나 심장 챔버의 감돈이 의심되거나 확인될 경우 수술적 치료가 필요할 수 있습니다. |
PPDH같은 질환과 혼동하지 말것.
반응형
'논문겉핥기' 카테고리의 다른 글
| 넌 어디까지 꼬여봤니? : 자궁염전 (0) | 2024.08.06 |
|---|---|
| 2023년도 미국 동물병원 협회 노령견, 노령묘 관리 가이드라인 (1) | 2024.08.02 |
| 개, 고양이의 콧줄 끝은 식도까지 둬야 하나 위까지 들어가야 하나? (1) | 2024.07.29 |
| 반려견의 결장, 맹장 수술은 어느정도 위험할까? (0) | 2024.07.27 |
| 반려견의 당뇨병 조기 진단법_신기술 (0) | 2024.07.19 |