황달이 없다고 담낭 파열을 배제하지 말라.
반응형
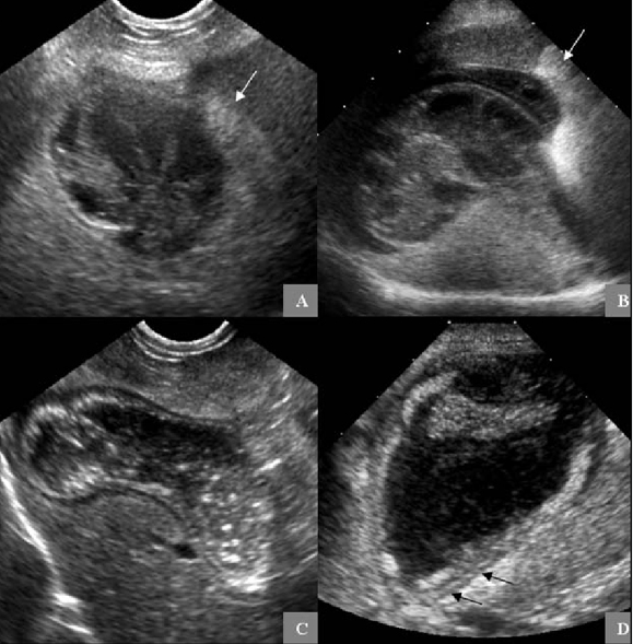
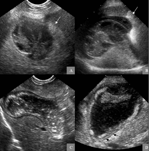
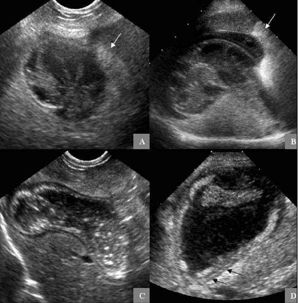
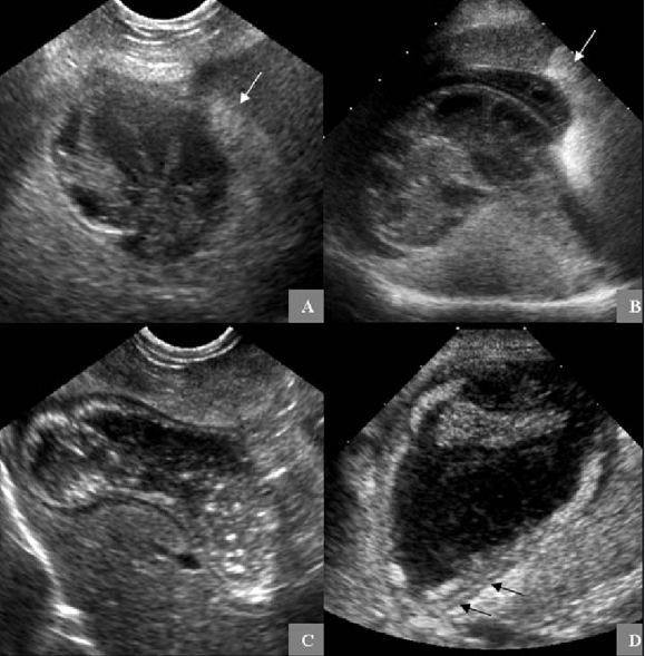
반려견에서는 쿠싱병이 호발하고 이때문에 이차적인 담낭 점액종이 많이 발생하게 된다.
담낭점액종은 담낭벽에 점액이 달라 붙어 있으면서 혈액 순환등에 장애를 주고 염증을 일으키기 쉬워 담도가 막히거나 파열을 일으키는 경우가 종종있다.
그래서 담낭에 대한 평가가 자주 일어나는데 이때 논리적으로 담낭이 파열하는 수준으로 가면 활달을 동반하는것은 당연한것으로 여긴다.

하지만 Anicteric gallbladder rupture라는 항목 즉, 무황달성 담낭 파열이 존재하기 때문에 황달이 없다는 이유로 담낭 파열을 배제해서는 안된다.
소량의 복수와 담즙과 관련한 이상이 의심되는 환자가 있다면 무황달성 담낭 파열을 고려해야 하기에 수술적으로 담낭제거를 시행해야 한다는 의미가 되기도 한다.
https://diamed.tistory.com/341
반려견 담낭 절제술의 위험성, 위험률
담낭 절제술 즉, 담낭을 제거하는 수술의 위험성은 한국 수의학계의 오랜 논쟁거리중 하나이다. 일부는 담낭을 제거하는 수술 자체가 사망률이 매우 높아 담낭 제거술을 쉽게 추천해서는 안된
diamed.tistory.com

반응형
'논문겉핥기' 카테고리의 다른 글
| 기관협착이 있는 강아지라면 간 간강을 챙길것 (0) | 2023.03.02 |
|---|---|
| 고양이 항공이동시 의학적으로 고려해야 할점들에 대한 자료. (0) | 2023.02.24 |
| 사람 알부민을 투여 받은 강아지에서 발생한 급성 신부전 치료 (0) | 2023.02.20 |
| 간종양이 있는 반려견에서 세침 흡인검사는 위험한가? (0) | 2023.02.18 |
| 드물지만 고양이 chemodectoma 증례 (0) | 2023.02.16 |